Implantologie à Baie-Mahault – Guadeloupe
Remplacement de dents pour un sourire durable
Au Cabinet Dentaire Les Dauphins, situé à Baie-Mahault en Guadeloupe, nous sommes spécialisés en implantologie dentaire, pour offrir à chaque patient un sourire durable et harmonieux.
Grâce à notre expertise en implantologie, parodontologie et dentisterie esthétique, nous remettons en œuvre la structure de la dentition en adoptant une approche personnalisée, performante et respectueuse.
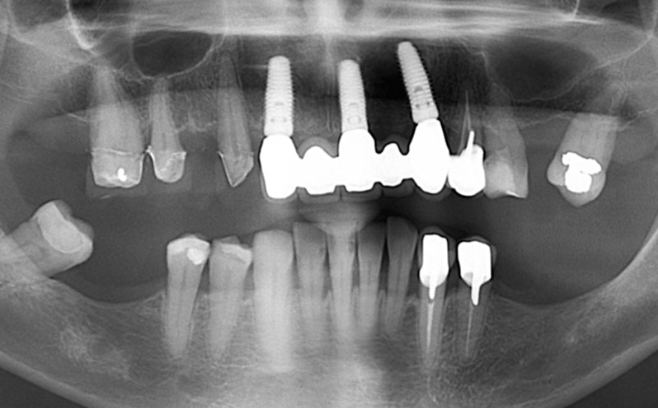
Qu’est-ce qu’un implant dentaire ?
Un implant dentaire désigne la « racine artificielle » d’une dent : sous forme de vis biocompatible (titane ou zircone), il est inséré dans l’os de la mâchoire pour remplacer la racine d’une dent manquante. Sur cette base, un pilier prothétique est fixé, puis une couronne ou un bridge vient restaurer la dent perdue.
Chez nous, chaque intervention d’implantologie à Baie-Mahault commence par une planification rigoureuse: bilan radiologique, évaluation osseuse, contrôle parodontal — tout est pensé pour assurer un résultat fiable et esthétique.
Pourquoi opter pour un implant au Cabinet Dentaire Les Dauphins ?
-
Remplacer une dent isolée ou plusieurs dents, voire toutes les dents, avec des implants durables, sans recourir à des solutions amovibles.
-
Profiter de notre technologie de planification numérique et d’imagerie Cone Beam 3D pour une intervention guidée, plus rapide, plus sûre.
-
Bénéficier d’un accompagnement adapté à toute la famille, dans un environnement moderne et bienveillant en Guadeloupe.
Étapes du traitement implantaire
1. Diagnostic et planification
Avant toute intervention, un examen médical complet est réalisé : le parodonte doit être sain, le volume osseux évalué — parfois grâce à un scanner 3D.
Le patient est informé du traitement recommandé, de sa durée, de son coût, et des éventuels facteurs de risque.
2. Intervention chirurgicale
La pose de l’implant s’effectue sous anesthésie locale, de façon indolore.
L’intervention varie selon le nombre d’implants et la complexité osseuse : notre approche à Baie-Mahault est moderne, précise, orientée confort patient.
3. Phase de cicatrisation (ostéointégration)
Suite à la pose, l’implant s’intègre à l’os de la mâchoire (ostéointégration) – processus indispensable pour garantir la stabilité.
Cette phase dure généralement 3 à 4 mois, durant laquelle nous assurons un suivi rapproché.
4. Phase prothétique
Une fois l’ostéointégration réussie, le pilier prothétique est fixé, puis la prothèse (couronne, bridge ou dent artificielle) est conçue et posée sur mesure.
L’empreinte, la couleur, la forme sont personnalisées pour un rendu esthétique naturel.
5. Suivi & maintenance
La pérennité de l’implant dépend de la qualité de l’hygiène bucco-dentaire et des contrôles réguliers.
Nous suivons nos patients avec rigueur : contrôle péri-implant, prévention des péri-implantites, conseils personnalisés.
Pourquoi choisir Baie-Mahault pour vos soins ?
En Guadeloupe, bénéficier de soins implantaires haut de gamme, c’est possible. Le Cabinet Dentaire Les Dauphins vous propose une prise en charge complète : les diagnostics, interventions et suivis sont réalisés localement à Baie-Mahault, dans un cadre moderne, équipé et centré sur votre bien-être.
Vous avez des questions ?
-
Quel est le budget d’un implant dentaire en Guadeloupe ?
-
Combien de temps dure une intervention ?
-
Ai-je besoin d’une greffe osseude ?
Nous sommes à l’écoute pour répondre à toutes vos interrogations et vous accompagner vers une solution personnalisée.
